O que é Trombose Venosa Pofunda?
É uma doença que decorre da formação de coágulos ( trombos ) dentro das veias profundas, causando seu entupimento parcial ou total, acarretando em sérias consequências na vida das pessoas. Pode acometer qualquer veia do corpo porém 90% dos casos ocorre em veias dos membros inferiores.
Quais as causas da doença?
Esta doença apresenta uma série de fatores de riscos que devem ser avaliados durante a consulta, incluindo:
– Idade acima de 40 anos
– Obesidade
– Tabagismo
– História de trombose na família
– Gravidez e puerpério
– Viagem prolongada
– Uso de anticoncepcional e terapia de reposição hormonal especialmente nos primeiros 4 meses de uso, no qual aumentam em 2 a 3x o risco de trombose
-Pacientes que tem doenças do sangue ( trombofilias )
Quais são os sintomas ?
Quando o coágulo acomete os vasos mais profundos, ocorre maior repercussão clínica, sendo as manifestações mais prevalentes a dor e edema ( inchaço ) que ocorre em 86% dos pacientes, podendo também ser observado dilatação de veias superficiais que ocorre em quase metade dos casos e alteração da coloração da pele, porém os sintomas podem ser menos intensos caso o vaso acometido seja pequeno e próximo às extremidades.
Em casos graves pode acontecer alteração acentuada da cor da pele e até comprometimento das artérias com risco de perda do membro, por isso, diante do início dos sintomas é fundamental a avaliação do especialista para o correto diagnóstico a fim de evitar complicações.

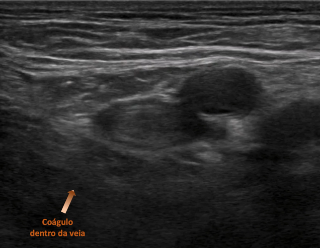
Como é feito o diagnóstico ?
O diagnóstico na maioria das vezes é feito pelo exame médico vascular detalhado e pode ser complementado com ultrassom doppler venoso do seguimento acometido que confirma a doença, entre outros critérios, pela ausência de fluxo em um segmento do vaso.
Exames de sangue como a dosagem do marcador D-Dímero deve ser avaliada com cuidado, pois outras doenças podem alterar o resultado do exame e nem sempre indicam o diagnóstico de trombose venosa.


Quais complicações podem ocorrer?
As complicações da trombose venosa profunda, podem ser divididas em agudas, sendo uma das mais temidas, a embolia pulmonar, na qual o coágulo formado se desprende podendo atingir o pulmão prejudicando a circulação do órgão e a oxigenação dos tecidos, levando a dor no peito e falta de ar e dependendo da grau de comprometimento, pode ser fatal. Além disso, quando a trombose acomete uma grande quantidade de veias, a sua progressão pode levar ao prejuízo da circulação das artérias com risco de perda do membro, caso não haja nenhuma intervenção.


Dentre as complicações crônicas se destaca a síndrome pós trombótica, a qual pode estar presente em até 60% dos pacientes que apresentam trombose na coxa e perna, e se caracteriza por uma lesão na parede interna da veia levando ao seu mal funcionamento e acúmulo de sangue na perna, acarretando em alterações que variam desde inchaço crônico, aparecimento de varizes no membro inferior afetado até alterações de pele como escurecimento da mesma e feridas.
Diante da importância da desta doença potencialmente grave e da possibilidade das complicações , é necessário um diagnóstico imediato e tratamento eficaz a fim de evitar as complicações.

Como posso tratar?
O Objetivo do tratamento da trombose é promover o alívio dos sintomas e evitar que ocorra a propagação do coágulo. O tratamento poderá ser feito em domicílio ou com necessidade de internação hospitalar de acordo com o quadro clínico ou extensão da doença, podendo ser utilizados medicamentos que evitam a formação de novos coágulos dentre eles, as heparinas, warfarina, inibidores diretos de fatores de coagulação e medidas que auxiliam o coagulo já formado a se desfazer mais rapidamente como fisioterapia motora e o uso de meia elástica .
Em situações nas quais não é possível fazer o uso de medicamentos, poderá ser utilizado
Em casos mais graves e em algumas situações poderá ser necessário a realização de procedimentos cirúrgicos para a retirada do coágulo a fim de evitar graves complicações.
O que fazer para evitar?
A prevenção da doença requer medidas simples como:
-Prática regular de exercícios físicos com fortalecimento da panturrilha
-Controle de peso corporal
-Ingerir bastante líquidos para evitar desidratação
-Movimentação das pernas durante viagens prolongadas
-Uso de meias elásticas para paciente submetidos a certos tipos de cirurgia, principalmente cirurgias ortopédicas e bariátricas assim que possível, e, para aqueles que tem varizes em membros inferiores.

Entre em contato com nossa equipe e agende uma consulta .